• Klawisze dostępności
    Przejdź do treści
    Alt
    1
    Mapa witryny
    Alt
    2
    Tekstowa
    Alt
    3
    Wersja kontrastowa
    Alt
    4
    Wyszukiwarka
    Alt
    5
  • Mapa witryny

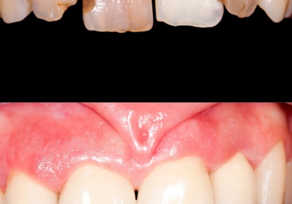
Protezy acelatowe to uzupełnienia protetyczne stanowiące alternatywę dla klasycznych protez szkieletowych wykonanych z metalu. Stanowią idealne rozwiązanie dla Pacjentów ze skłonnościami alergicznymi w związku z zastosowaniem biokompatybilnego materiału.

 

Pacjent w trakcie użytkowania nie jest narażony na odczucia smaku metalu w ustach i związane z tym dolegliwości. Niska chłonność wilgoci materiału z którego wykonywane są protezy ułatwia utrzymanie higieny i czyszczenie. Podstawową zaletą protez acetalowych są walory estetyczne, gdzie widoczne w tradycyjnych protezach elementy metalowe zastąpiono odpowiednio uformowanymi klamrami z tworzywa, którego kolor dobierany jest indywidualnie, co sprawia, że są praktycznie niewidoczne w ustach Pacjenta.