• Klawisze dostępności
    Przejdź do treści
    Alt
    1
    Mapa witryny
    Alt
    2
    Tekstowa
    Alt
    3
    Wersja kontrastowa
    Alt
    4
    Wyszukiwarka
    Alt
    5
  • Mapa witryny

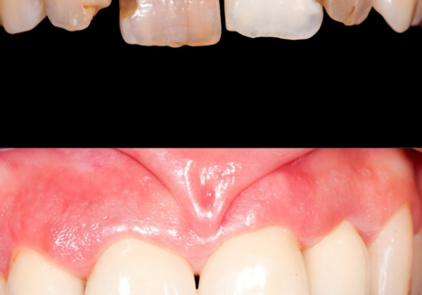
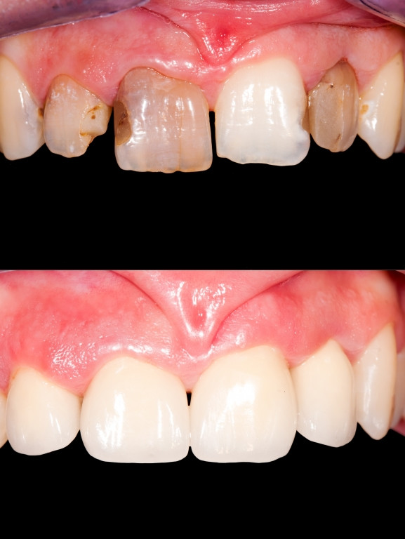
W sytuacji utraty zębów naturalnych lub po ich rozległym uszkodzeniu leczenie protetyczne staje się działaniem niezbędnym dla utrzymania i przedłużenia młodego wyglądu w postaci promiennego uśmiechu.

 

Dzisiejsza protetyka daje nieograniczone wręcz możliwości wiernie imitując naturalne zęby pacjenta. Poradnia Protetyki Stomatologicznej i Dysfunkcji Narządu Żucia zajmuje się leczeniem zaburzeń w obrębie stawów skroniowo-żuchwowych, mięśni narządu żucia oraz powiązanych z nimi narządów. Schorzenia te powodują często duże dolegliwości w codziennym życiu. Mogą imitować inne choroby, których pacjenci nie wiążą z narządem żucia, bóle głowy czy zapalenie ucha. Dlatego też pacjenci są często przez wiele lat bezskutecznie diagnozowani i leczeni przez innych specjalistów, tj. neurologa, laryngologa czy okulistę. Przyczyny i mechanizm powstawania dysfunkcji narządu żucia są dość skomplikowane. Składa się na to wiele czynników, a schorzenie rozwija się przez lata. Pierwsze sygnały są niestety często bagatelizowane. Dopiero zaawansowane zaburzenia, w tym dolegliwości bólowe, skłaniają pacjenta do poszukiwania pomocy u specjalisty. Jedną z podstawowych przyczyn są tzw. parafunkcje, czyli niefizjologiczne, powtarzające się czynności w układzie ruchowym narządu żucia, najczęściej wcale nie uświadamiane przez pacjentów.

 

Zaliczamy do nich:

  • zaciskanie zębów i zgrzytanie, przede wszystkim w nocy
  • nagryzanie warg, policzków, języka
  • obgryzanie paznokci, skórek wokół paznokci
  • nagryzanie obcych przedmiotów tj. długopisy, ołówki, oprawki od okularów
  • nawykowe żucie gumy!

 

W naszej poradni są udzielane świadczenia refundowane w ramach ubezpieczenia zdrowotnego finansowane przez NFZ, świadczenia ponadstandardowe finansowane przez Pacjentów oraz świadczenia w ramach procesu dydaktycznego wykonywane przez studentów Śląskiego Uniwersytetu Medycznego. Zakres świadczeń obejmuje przede wszystkim specjalistyczne leczenie dysfunkcji narządu żucia, estetyczną odbudowę pojedynczych zębów oraz częściowych i uogólnionych braków zębowych z użyciem między innymi:

  •  koron i mostów licowanych porcelaną na podbudowie metalowej ze stali lub złota oraz  pełnoceramicznych
  •  protez osiadających: częściowych i całkowitych
  •  protez szkieletowych i szynoprotez
  •  protez natychmiastowych
  •  protez na zatrzaskach, zasuwach
  •  protez opartych na teleskopach
  •  wkładów koronowych i koronowo-korzeniowych 

Ustalanie i odwoływanie terminu wizyty:

Poradnia Protetyki Gab. 109

Poniedziałek, środa, czwartek 12:00 – 18:00

Wtorek, piątek 08:00 – 14:00

tel. 32 370 52 15