• Klawisze dostępności
    Przejdź do treści
    Alt
    1
    Mapa witryny
    Alt
    2
    Tekstowa
    Alt
    3
    Wersja kontrastowa
    Alt
    4
    Wyszukiwarka
    Alt
    5
  • Mapa witryny

Implantoprotetyka to dziedzina stomatologii składająca się z część chirurgicznej (wszczepienie implantu) oraz z części protetycznej czyli odbudowa zęba na implancie.

 

Ten najbardziej zbliżony do fizjologicznego sposób odtwarzania utraconych zębów pozwala na wyeliminowanie dyskomfortu związanego z użytkowaniem ruchomych protez.

Implantoprotetyka pozwala stworzyć doskonałe oparcie dla uzupełnień protetycznych, poprawiając znacząco kosmetykę i komfort w użytkowaniu.

Leczenie implantoprotetyczne składa się z kilku etapów:
1. właściwej diagnostyki i opracowania planu leczenia
2. wprowadzenia w ściśle określone miejsce tytanowego implantu w znieczuleniu miejscowym
3. odbudowy zęba stanowiącego element protetyczny

Prawidłowo przeprowadzony wywiad z pacjentem pozwala lekarzowi dokonać wyboru właściwego systemu implantologicznego. Zabieg wszczepienia implantu wykonuje się w znieczuleniu miejscowym, dzięki czemu jest całkowicie bezbolesny. Po odczekaniu czasu niezbędnego na wgojenie się implantu tj. ok 3 miesiące w żuchwie i 6 miesięcy w szczęce można przystąpić do części protetycznej zaplanowanej odpowiednio wcześniej.

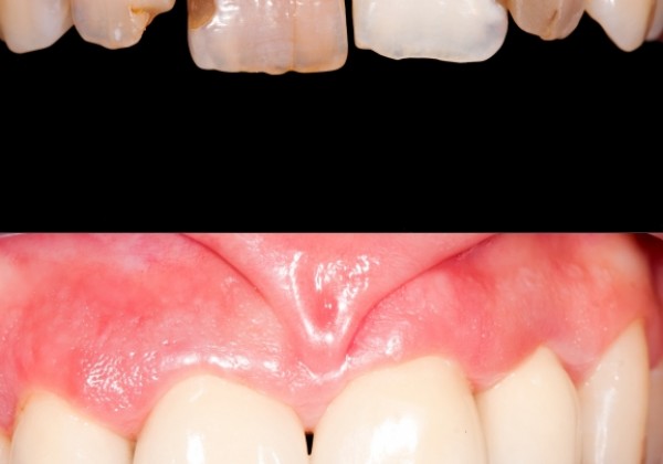
Odtworzenie pojedynczych braków zębowych, korona na implancie:
Kiedy brakuje pojedynczego zęba, coraz częściej wykonuje się koronę na implancie. To praca polegająca na odbudowie pojedynczego zęba dająca trwały i bardzo estetyczny efekt. Zaletą takiego rozwiązania jest uratowanie dwóch sąsiadujących zębów, gdyż nie jest konieczne ich szlifowanie, aby zamocować na nich most.

Odtworzenie kilku braków zębów:  
W sytuacji gdy brakuje Pacjentowi kilku zębów i by uniknąć szlifowania zdrowych zębów stosuje się mosty na implantach. Uzupełnienie braków skrzydłowych polega na wszczepieniu dwóch implantów a następnie wykonaniu pojedynczych koron protetycznych. Jeśli odległość pomiędzy implantami jest większa koniecznym staje się wykonanie mostu protetycznego

Całkowite bezzębie:
Jeśli pacjent utracił wszystkie zęby w obrębie danego łuku zębowego implanty są najlepszym rozwiązaniem. Takie zastosowanie pozwala na trwałe i komfortowe utrzymanie protezy w jamie ustnej. Proteza całkowita jest protezą ruchomą, dzięki zastosowaniu specjalnych zatrzasków kulkowych, tzw. locatorów lub rozwiązania alternatywnego, tzw. belki Doldera – protezy „kotwiczonej” na implantach.

Można wykonać wyjmowaną protezę przyczepioną do minimum dwóch implantów w żuchwie, natomiast w szczęce minimum 4, na których zamontowany jest element retencyjny. Proteza trzyma się wówczas stabilnie na miejscu, ale można ją łatwo wyjąć do zabiegów higienizacyjnych.