• Klawisze dostępności
    Przejdź do treści
    Alt
    1
    Mapa witryny
    Alt
    2
    Tekstowa
    Alt
    3
    Wersja kontrastowa
    Alt
    4
    Wyszukiwarka
    Alt
    5
  • Mapa witryny

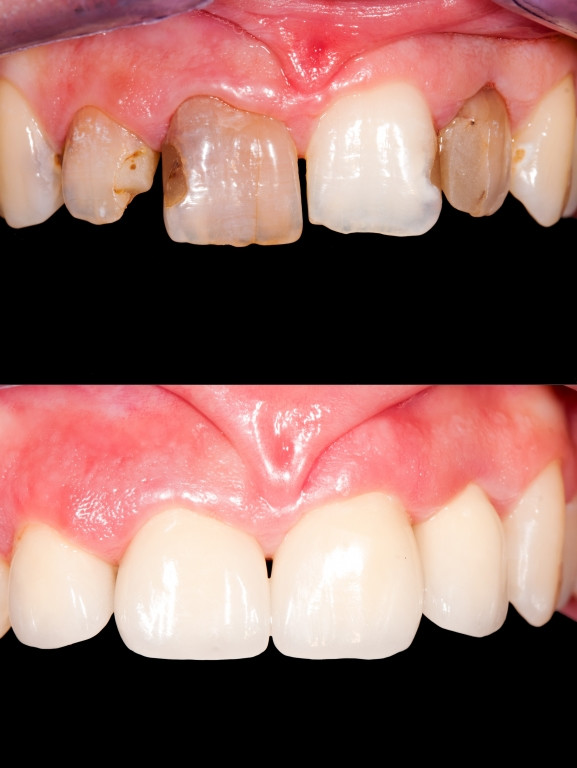
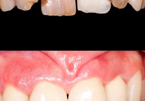
W sytuacji utraty zębów naturalnych lub po ich rozległym uszkodzeniu leczenie protetyczne staje się działaniem niezbędnym dla utrzymania i przedłużenia młodego wyglądu w postaci promiennego uśmiechu.

 

Dzisiejsza protetyka daje nieograniczone wręcz możliwości wiernie imitując naturalne zęby pacjenta.

Przez całe życie nasze zęby narażone są na działanie szeregu szkodliwych czynników, które mają ogromny wpływ zarówno na strukturę, budowę, jak i w efekcie końcowym na ilość naszego uzębienia.

Leczenie protetyczne dotyczyć może każdego człowieka niezależnie od wieku, zarówno dzieci, jak i dorosłych.

Nawet pojedyncze braki zębowe mogą spowodować bardzo niekorzystne i nieodwracalne konsekwencje dla całego układu zębowo-szczękowo-twarzowego.
Z upływem czasu pojawiają się dolegliwości bólowe ze strony stawów skroniowo-żuchwowych, bóle głowy, zwiększona ruchomość i przemieszczanie się zębów będące efektem braku w przeszłości odpowiedniego leczenia protetycznego.

Oprócz rozległych uzupełnień odtwarzających brakujące zęby, za pomocą komfortowych rozwiązań protetycznych można odbudować pojedyncze, złamane bądź zniszczone korony zębów, zmienić ich kształt i wielkość, a także dokonać korekty estetycznej trwałych przebarwień.

Specjaliści protetyki stomatologicznej opracują dla Państwa szczegółowy plan leczenia oraz zagwarantują dobranie najodpowiedniejszych i najnowocześniejszych technologicznie rozwiązań protetycznych.

Nasza poradnia oferuje:

  •  stałe uzupełnienia protetyczne, w tym korony i mosty porcelanowe, wkłady koronowo korzeniowe, licówki i inne typy uzupełnień stałych,
  •  ruchome uzupełnienia protetyczne, takie jak protezy akrylowe, acetalowe, protezy szkieletowe, szynoprotezy, protezy typu overdentures i inne,
  • leczenie implantoprotetyczne.


Ustalenie i odwołanie terminu wizyty:
poniedziałek - czwartek od 13:00 do 18:00
piątek od 08:00 do 13:00
tel. 32 395 60 60