• Accessibility shortcuts
    Jump to content
    Alt
    1
    Site map
    Alt
    2
    Text mode
    Alt
    3
    Contrast mode
    Alt
    4
    Search bar
    Alt
    5
  • Site map
e-registration
Change language:

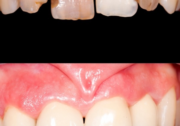
Conservative Dentistry and Periodontal Clinic and General Dentistry Clinic

provide mainly services in aesthetic reconstruction of teeth and endodontic treatment. They specialize in clearing occluded root canals, root canal re-treatment and conservative treatment of apical changes. Treatment is conducted according to the latest guidelines of the European Society of Endodontology. The clinics provide treatment for periodontitis, the most frequent cause of teeth loss in late adulthood. You must remember that periodontitis causes damage to the tissues keeping teeth in place and results in exposure of the tooth necks, which leads to teeth loosening and eventual teeth loss. Moreover, we surgically cover recession using the latest technique, i.e. platelet-rich collagen membrane.