• Accessibility shortcuts
    Jump to content
    Alt
    1
    Site map
    Alt
    2
    Text mode
    Alt
    3
    Contrast mode
    Alt
    4
    Search bar
    Alt
    5
  • Site map
e-registration
Change language:

Conservative Dentistry and Endodontics Clinic, and General Dentistry Clinic

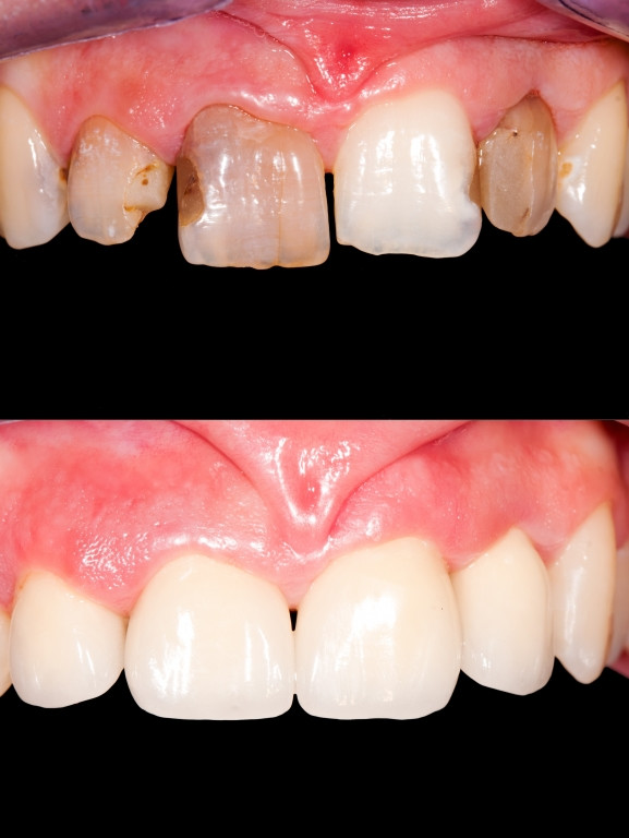
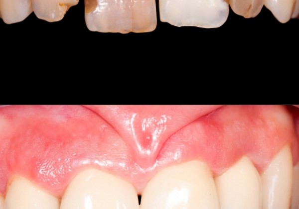
Conservative Dentistry and Endodontics Clinic, and General Dentistry Clinic provide mainly services in aesthetic reconstruction of teeth and endodontic treatment. They specialize in clearing occluded root canals, root canal re-treatment and conservative treatment of apical changes, and using endodontic microsurgery. Using modern equipment (endodontic microscope), experienced endodontists treat difficult and complex cases, requiring individual approach. Treatment is conducted according to the latest guidelines of the European Society of Endodontology. To ensure you can smile broadly, apart from medical treatments, we offer a broad range of hygienising procedures, such as removing dental plaque with ultrasounds and sandblasting. These pain-free procedures clear the surface of the teeth and transform them into a true source of pride.